건강/의료 정보

건강/의료 정보 게시글 보기
제목 "쉬면 낫겠지", 했던 어지럼증 검진하니 3cm 종양
조회수 555 등록일 2026-04-10
제목 "쉬면 낫겠지", 했던 어지럼증 검진하니 3cm 종양
조회수 555
등록일 2026-04-10 10:39:29


 

"쉬면 낫겠지" 했던 어지럼증, 검진하니 3cm 종양

[요약] 어지럼증은 중년층에게 매우 흔한 증상으로, 대부분 기립성 저혈압이나 이석증으로 가볍게 여겨집니다.

그러나 어지럼증의 원인은 말초성(귀), 중추성(뇌/신경계), 심혈관성, 호르몬, 정신과적 문제 등 매우 다양합니다.

만약 어지럼증이 반복되거나 말 어눌함, 한쪽 팔다리 힘 빠짐, 이명, 두근거림 등이 동반된다면 단순 피로가 아닌 치료가 필요한 중질환의 신호일 수 있습니다.

서울안강병원 사례에서는 2년간 반복된 어지럼증을 단순 저혈압으로 오인했으나, 뇌 MRI 검진을 통해 소뇌를 압박하는 3cm 종괴를 발견하여 치료로 이어진 바 있습니다. 어지럼증은 가볍게 넘기지 말고 정확한 진단을 위한 진료와 검진이 필수입니다.

안녕하세요.

서울안강병원 내과·건강검진센터에서 여러분의 건강을 살피는 ‘검진 백닥터’ 입니다.

진료실이나 검진 상담실에서 중년 환자분들을 뵐 때 가장 흔하게 듣는 호소 중 하나가 바로 "원장님, 요즘 자꾸 어지러워요"입니다.

그럴 때마다 환자분들은 덧붙이십니다. "앉았다 일어나면 핑 돌아서 기립성 저혈압 같아요." "귀에 문제가 있는 이석증이겠죠?" "요즘 스트레스가 심해서 그런 것 같아요."

네, 맞습니다. 실제로 기립성 저혈압이나 이석증은 어지럼증의 매우 흔한 원인입니다. 잠시 쉬거나 시간이 지나면 호전되는 경우도 많지요. 하지만 전문의로서 제가 가장 경계하는 것은 '이 흔함에 익숙해져, 몸이 보내는 치명적인 경고를 간과하는 것'입니다.

어지럼증은 결코 가벼운 증상이 아닙니다. 오늘은 제가 직접 경험한, 단순 저혈압으로 생각하고 2년을 방치했던 어지럼증 뒤에 숨어 있던 신경계 종양 사례를 통해, 왜 우리가 어지럼증을 정확히 진단해야 하는지 말씀드리겠습니다.

1. 어지럼증, 원인은 '귀'부터 '뇌'까지 천차만별입니다

 


 

"어지럽다"는 느낌은 하나지만, 우리 몸이 균형을 잡는 시스템은 귀(전정기관), 뇌, 시각, 말초신경, 그리고 혈액순환까지 복잡하게 얽혀 있습니다. 이 중 어느 한 곳이라도 문제가 생기면 어지럼증이 발생합니다.

· 귀의 문제 (말초성): 이석증, 전정신경염, 메니에르병 등. 주로 세상이 빙글빙글 도는 회전성 어지럼증이 많고 자세 변화에 민감합니다.

· 뇌/신경계의 문제 (중추성): 뇌졸중(뇌경색/뇌출혈), 뇌종양, 신경계 변성 질환 등. 치료 시기를 놓치면 치명적이거나 심각한 후유증을 남깁니다.

· 순환기/심장 문제: 빈혈, 기립성 저혈압, 미주신경성 실신, 부정맥 등. 뇌로 가는 혈류가 일시적으로 부족해질 때 발생합니다.

· 기타 원인: 갱년기 호르몬 변화, 극심한 스트레스로 인한 신경정신과적 문제 등.

2. 진단의 열쇠는 '검사'가 아니라 '당신의 이야기'에 있습니다

 


 

많은 분들이 어지러우면 무조건 뇌 MRI부터 찍어야 한다고 생각하시지만, 정확한 진단의 80%는 환자의 꼼꼼한 문진에서 시작됩니다.

진료실에서 제가 환자분께 꼭 여쭤보는 정보들이 있습니다. 이 정보들을 종합하면 원인을 상당 부분 좁힐 수 있습니다.

어지럼증 자가진단 체크리스트

체크 항목

주요 내용

의심되는 원인 방향

유발 요인

앉았다 일어날 때, 사우나 후, 누워서 고개 돌릴 때, 심한 스트레스

기립성 저혈압, 이석증, 미주신경성 실신, 심인성

완화 요인

잠시 앉아서 쉬면 좋아진다, 가만히 누워있으면 낫다

기립성 저혈압, 이석증 (비교적 경증)

어지러운 양상

빙글빙글 돈다(회전성) vs 핑 돌거나 붕 뜬다(비회전성)

회전성: 주로 귀 문제 / 비회전성: 뇌, 심장, 정신적 문제 등 다양

동반 증상

말 어눌해짐, 팔다리 힘 빠짐, 비틀거림, 이명, 식은땀, 두근거림

앞의 3개는 뇌질환 강력 의심(응급) / 뒤의 증상은 귀나 심장 문제

지속시간/빈도

몇 초, 몇 분, 몇 시간, 며칠 지속 / 처음인가 반복인가

장시간 지속될 수록 뇌졸중 등 중질환 가능성 고려

3. [실제 증례] 2년간 저혈압인 줄 알았던 어지럼증의 실체

저희 서울안강병원 건강검진센터를 찾으셨던 한 중년 환자분의 이야기입니다.

이분은 2년 전부터 반복되는 어지럼증으로 고생하고 계셨습니다. 증상이 생겨도 잠시 앉아서 쉬면 곧 좋아지곤 했기에, 환자분께서는 "나는 원래 몸이 약하고 저혈압이 있어서 그래"라며 단순 기립성 저혈압으로 여기고 대수롭지 않게 지내셨습니다.

하지만 중년층의 반복되는 증상은 절대 그냥 넘겨선 안 됩니다. 단순한 어지엄증 증상 탓으로 돌리기엔 2년이라는 시간이 너무 길었고, 증상의 양상이 조금씩 변하고 있었습니다.

그 결과는 충격적이었습니다.

 

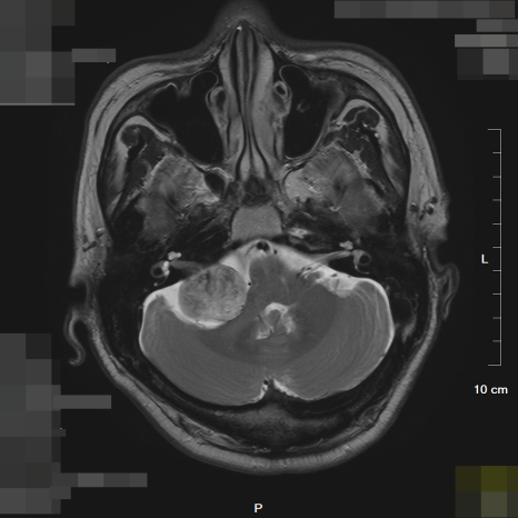
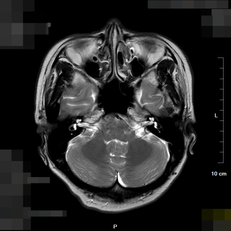
(좌) 3cm크기의 종괴 소견 뇌MRI / (우) 정상 소견의 뇌MRI

정밀 뇌 MRI 검사 결과, 환자분의 소뇌를 강력하게 누르고 있는 약 3cm 크기의 종괴(종양)가 확인되었습니다. 2년 동안 환자분을 괴롭혔던 그 어지럼증은 몸이 약해서가 아니라, 뇌 속에서 자라나는 종양이 보내는 균형 감각 상실의 경고였던 것입니다.

4. 어지럼증 가볍게 여기면 치명적인 결과를 낳을 수 있습니다

 


 

만약 "나는 원래 그래"라며 몇 년을 더 방치했다면 어떻게 되었을까요? 종양은 더 자라 생명을 위협했을 것입니다.

어지럼증을 가볍게만 여기면, 치료가 필요한 중질환을 놓칠 수 있습니다. 반대로, 정확한 진단 후 치료받으면 충분히 호전되고 삶의 질을 되찾을 수 있습니다.

!서울안강병원 건강검진센터에서 당부드립니다!

중년의 어지럼증은 단순한 불편함이 아니라 몸이 보내는 SOS일 수 있습니다. 특히 다음과 같은 증상이 있다면 주저하지 말고 전문의의 진료와 검진을 받으셔야 합니다.

[반드시 검진이 필요한 위험 신호]

1.어지럼증이 반복되거나 증상이 점점 심해지는 경우

2.잠시 쉬어도 어지럼증이 며칠간 지속되는 경우

3.어지러우면서 말이 어눌해지거나 비틀거리는 경우

4.어지러우면서 한쪽 팔다리에 힘이 빠지거나 감각이 이상한 경우

5.어지러우면서 이명, 청력 저하, 심한 두근거림이 동반되는 경우

"쉬면 괜찮아지겠지"라는 생각은 골든타임을 놓치는 가장 위험한 생각입니다. 정확한 진단은 불안을 키우는 것이 아니라, 당신의 건강한 삶을 지키는 가장 확실한 방법입니다.

당신의 일상이 더 이상 핑 돌지 않도록, 서울안강병원 건강검진센터가 정확한 진단으로 함께하겠습니다.

감사합니다.


자주 묻는 질문 (FAQ)

Q. 어지럼증이 있을 때 가장 먼저 의심해야 할 것은 무엇인가요?

A. 어지럼증의 양상을 파악하는 것이 우선입니다. 주변이 빙글빙글 도는 느낌이라면 귀의 문제(이석증 등)를, 핑 돌거나 눈앞이 캄캄해진다면 심혈관성 문제(기립성 저혈압 등)를 의심할 수 있습니다. 하지만 중년층에서 반복되거나 **신경학적 증상(말 어눌함 등)**이 동반되면 뇌질환 가능성을 반드시 염두에 두고 뇌 MRI 등 정밀 검사를 받아야 합니다.

Q. 기립성 저혈압과 이석증은 어떻게 구분하나요?

A. 기립성 저혈압은 앉거나 누웠다가 일어날 때 눈앞이 캄캄해지며 핑 도는 증상이 주를 이룹니다. 반면 이석증은 누워서 고개를 돌리거나 베개를 베고 누울 때 세상이 빙글빙글 도는 회전성 어지럼증이 수초~수분간 지속되는 특징이 있습니다.

Q. 어지럼증이 심하면 응급실에 가야 하나요?

A. 네, 어지럼증과 함께 말이 어눌해지거나, 한쪽 팔다리에 힘이 빠지거나, 심한 두통, 구토, 비틀거림 등이 동반된다면 뇌졸중의 강력한 신호이므로 즉시 응급실로 가야 합니다.